For Expertly Fitted Fillings and Crowns in Wasilla, AK
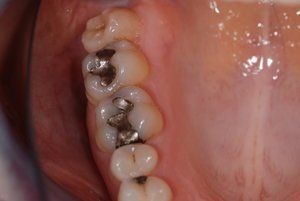
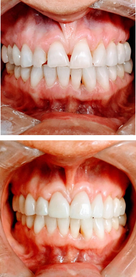
Fillings and crowns are used to treat a wide array of dental issues. Many people suffer from severe tooth decay, cracked teeth, or teeth that have fractures, erosion, or other conditions. The expert dentists at Dental Innovations will assess your particular situation and discuss suitable treatment plans.
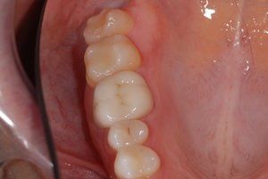
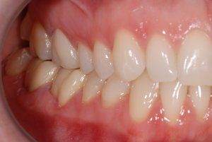
Our aims are to restore your teeth, reduce or eliminate pain, and help you to maintain optimum oral health for the future. Dental Innovations provide a range of restorative dental services for patients throughout Palmer, Anchorage, and Wasilla, AK. Please contact our clinic to arrange a consultation.














