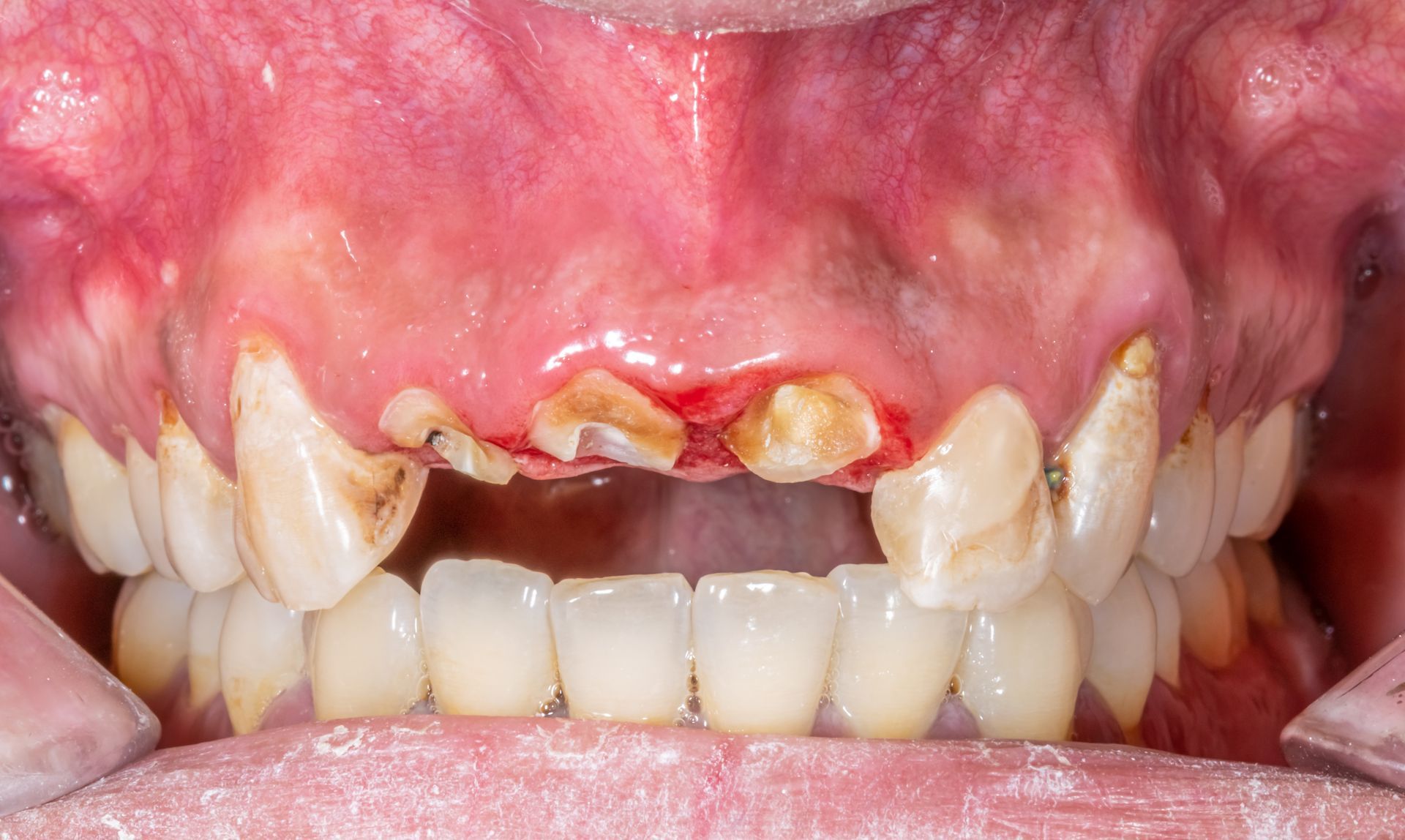
Restore Your Front Teeth with Confidence
Benefits of Tooth-Colored Anterior Fillings:
Seamless blend with your smile
Preserves healthy tooth structure
Durable and long-lasting
Fast, comfortable procedure
Whether it’s restoring strength or improving appearance, anterior fillings are a simple yet effective way to protect and perfect your smile.





