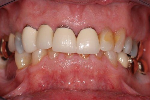
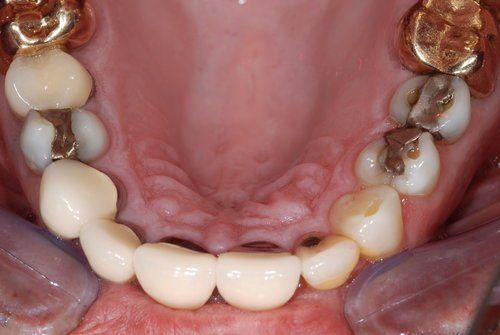
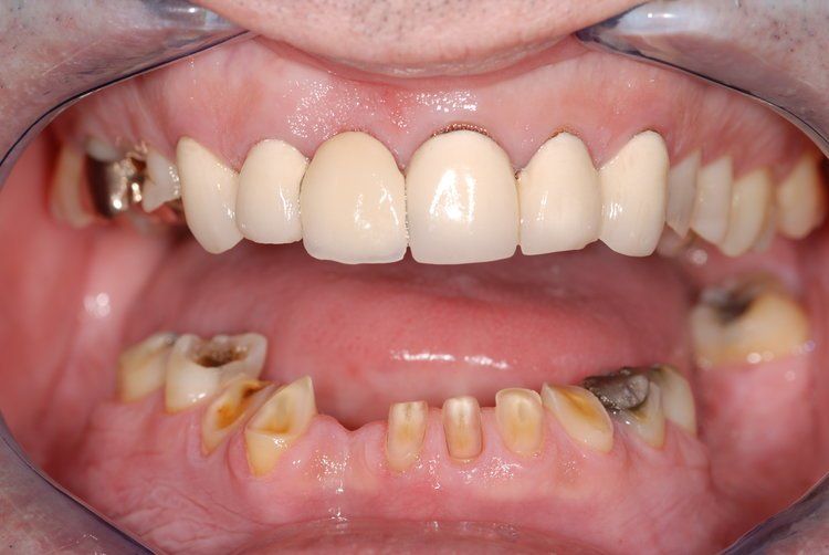
Dental Treatment in Wasilla, AK
Many people are self-conscious of having discolored, broken, and damaged teeth. At Dental Innovations in Wasilla, AK, we provide a range of professional, modern cosmetic dentistry services that can help you to regain your confidence and enjoy a beautiful bright smile.
We offer cosmetic whitening services and innovative smile design using restorative procedures such as crowns, bridges, or veneers. We can also perform limited orthodontics in advance of restorative services.






























