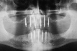
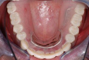
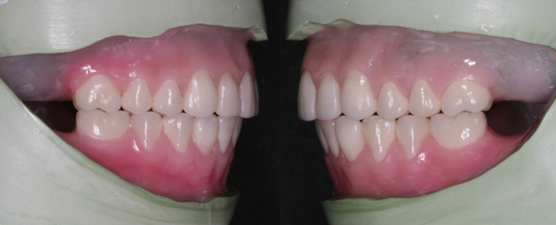
Modern Implant Supported Dentures in Wasilla, AK
After years of wear, older forms of dentures can become uneven and uncomfortable. If your dentures are moving around in your mouth or are painful to use, you should have them replaced.
At Dental Innovations in Wasilla, AK, we can fit the very latest implant supported dentures, implant retained dentures, or more complex or targeted solutions for a particular patient situation. Contact our team today to arrange a consultation.























